

□ 本报实习记者 王薛淄
随着人们生活水平的提高,食物愈加精细化,口腔中的“第三磨牙”——智齿,就渐渐失去了使用价值。但由于智齿生长位置在牙齿最后面,窝沟比较深,常常成为口腔清洁的“死角”。龋齿蛀牙、挤歪邻牙、时常发炎……“不听话的智齿”简直成了现如今年轻人的痛苦之源。
近日,在北京从事市场销售工作的刘小姐向记者表示,“我和智齿斗智斗勇了好多年,从它开始萌出时就时不时通过发炎‘找存在感’,疼的时候,苦不堪言。”刘小姐描述起来时仍心有余悸,“而且在网上看到有些帖子说,如果处理不当,甚至可能出现神经损伤、味觉消失等症状。”由于对口腔知识的不了解,加上忙碌的工作以及心理上对牙医的恐惧,刘小姐迟迟不肯踏入牙科诊室的大门。
生活中,像刘小姐这样的消费者不在少数,记者在社交平台上看到,多家口腔诊所各自发起的口腔问题调查中,牙齿美白、成人正畸以及智齿拔除问题获消费者关注度最高。而出于“牙科恐惧症”的心理,在智齿问题上患者更倾向于消炎止痛,心理安慰。
在搜索引擎中输入“智齿问题”,显示相关结果约有313万个,而其中不乏大量“微创手术实录教你与智齿斗智斗勇”“关于智齿的几个小秘密”“智齿不疼千万不要拔”等相关内容,各执一词,众说纷纭。看似都有道理,但更加重了部分消费者的纠结心理,“拔与不拔?这是个问题。”
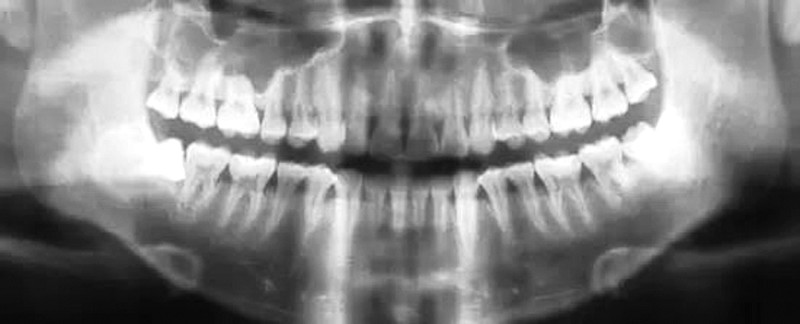
面对消费者普遍存在的疑惑与犹豫,记者在中国口腔科普公益联盟线下活动中采访到北京德医口腔诊所得李牧政主任,他表示牙齿健康不能忽视,智齿问题在学界也存在争议,有些人可能智齿一萌出就开始发炎疼痛,而有的人却能顺利生长不受影响。消费者可以首先通过三个方式对自己智齿进行一个初步判断,第一是记录智齿是否经常发炎,影响日常生活;第二是观察智齿生长位置是否正常,邻牙有没有出现病变、倾斜的情况;第三是留意智齿是否影响咬合,对于日常咀嚼食物是否有帮助。“当发现有这三种情况发生时,应该及时就诊,拍个全景牙片,进行专业的诊断。”
对于没有出现这些症状的智齿,北京大学口腔医院教授,中国口腔健康科普公益联盟专家荣文笙在接受记者采访时也指出,“并不是所有的智齿都要拔除,如果能正常萌出,并且生长位置和方向正常,可以正常咬合,那么不需要拔除。”
(消费日报 www.xfrb.com.cn)